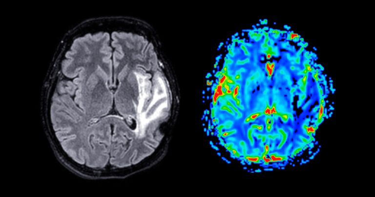
About one in 10 people in the UK aged 70 and over may have brain changes linked to Alzheimer’s disease, according to a large new population-based study.
The research, published in Nature, analysed blood samples from nearly 11,500 people and found that more than 1 million over-70s could meet NHS criteria for anti-amyloid treatment, far higher than current estimates. The findings are not a diagnosis but suggest many people carry early disease markers.
Experts say the study could improve early detection, though current treatments are expensive and not widely available on the NHS. The likelihood of Alzheimer’s-related brain changes rises sharply with age, reaching around two-thirds of people over 90.
